Feb 082018
 


Ребенок с врожденным пороком развития легкого успешно оперирован в Национальном медицинском исследовательском центре имени В. А. Алмазова.

Скопление жидкости в левой плевральной полости (внутриутробный гидроторакс) у плода было выявлено при проведении ультразвукового исследования на сроке беременности около 30 недель. Из Вологды женщину направили на консультацию в Перинатальный центр ФГБУ «НМИЦ им. В. А. Алмазова» Минздрава России.

Заведующий отделением функциональной диагностики, врач ультразвуковой диагностики, к. м. н. Филипп Андреевич Овсянников под контролем ультразвука внутриутробно пунктировал плевральную полость плода и эвакуировал жидкость, причина образования которой оставалась неясной. Опасаясь за здоровье будущего ребенка, пациентке рекомендовали рожать в Перинатальном центре.

Однако роды начались преждевременно, и в Санкт-Петербург маму с малышом перевели, когда ему было три недели. Ребенок нуждался в дообследовании и точном диагнозе, так как жидкость продолжала скапливаться и сдавливала легочную ткань, а также соседние органы. Вероятны были дыхательная недостаточность и нарушение кровообращения.

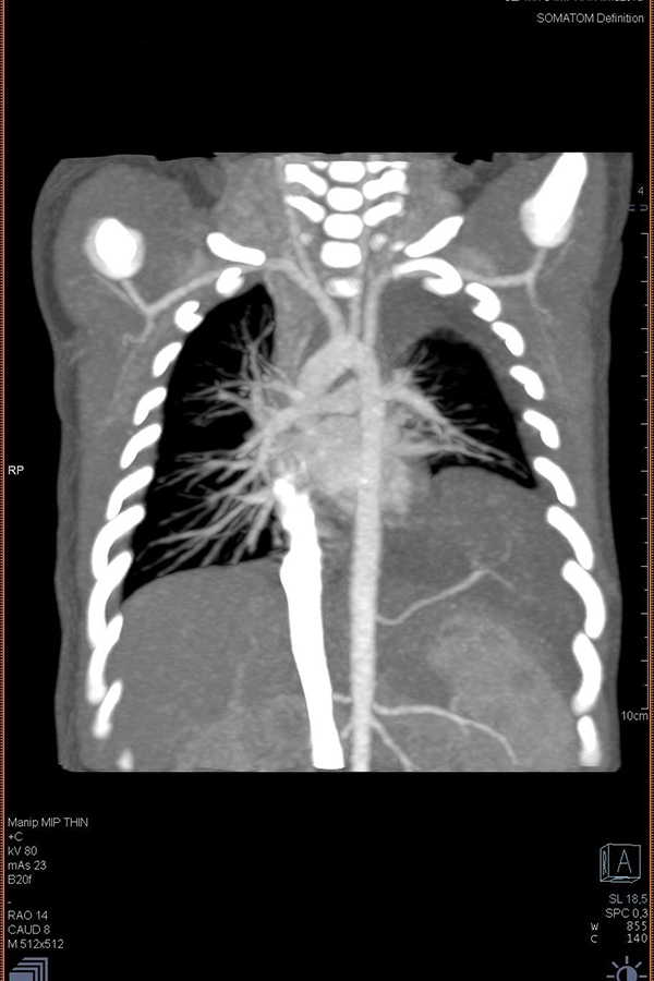
На основании рентгенограмм предположили секвестрацию легкого – достаточно редкий порок развития, при котором часть аномально развитой легочной паренхимы отделяется от легкого. «Лишний» участок легочной ткани не наполняется кислородом, «не дышит». Кровоснабжение секвестра, в отличие от других аномалий развития легких, осуществляется изолированным сосудом, отходящим непосредственно от аорты.

Компьютерная томография подтвердила данный диагноз. Из-за необычного симптома – внутриутробного скопления жидкости в плевральной полости – дополнительный кровеносный сосуд и большой секвестр невозможно было обнаружить при УЗД до родов.

Требовалось оперативное вмешательство, в противном случае патологическое образование являлось бы постоянным местом инфицирования, приводя к воспалительным процессам и нагноениям. Операцию провели Владимир Гирееевич Баиров, д. м. н., профессор, главный внештатный детский хирург Северо-Западного Федерального округа, заведующий НИЛ хирургии врожденной и наследственной патологии ФГБУ «НМИЦ им. В. А. Алмазова» Минздрава России и Анна Андреевна Сухоцкая, к. м. н., заведующая отделением детской хирургии Перинатального центра ФГБУ «НМИЦ им. В. А. Алмазова» Минздрава России.

Владимир Гиреевич рассказал, что за свою многолетнюю практику впервые столкнулся со случаем, когда внутриутробный гидроторакс стал следствием врожденной секвестрации легкого. «Раньше отсутствовала возможность своевременно, тем более внутриутробно, диагностировать секвестрацию легкого – не было компьютерной томографии и УЗИ-аппаратов с высокой разрешающей способностью, – пояснил В. Г.  Баиров. – Дети с таким пороком развития могли поступать к специалистам в возрасте 10-ти и старше лет. Это были хронически больные пациенты, с частыми пневмониями, плевритами в анамнезе, осложнениями после гриппа… А при оперативных вмешательствах врачи обнаруживали у них уже полуразвалившиеся секвестры. До сих пор эту врожденную патологию развития легких лечат в основном в крупных специализированных центрах, в Москве и Петербурге». По мнению доктора, после описания в медицинской научной литературе этот случай поможет врачам устанавливать верный диагноз и быть готовыми оказать необходимую специализированную помощь новорожденным.

Благодаря современным технологиям и профессионализму врачей малышу из Вологды все было сделано вовремя, участок патологической ткани удален до появления осложнений. Жизни ребенка ничего не угрожает, и он уже выписан домой.


X

УВАЖАЕМЫЕ ПОСЕТИТЕЛИ ЦЕНТРА АЛМАЗОВА!

Уведомляем вас, что в соответствии с Федеральным законом от 06.03.2006 № 35-ФЗ «О противодействии терроризму» в Центре Алмазова введен комплекс дополнительных мер по безопасности, направленный на предотвращение террористических актов. В целях обеспечения безопасности граждан и целостности объектов инфраструктуры при посещении Центра Алмазова проводится дополнительный личный осмотр, осмотр вещей и автотранспорта. Отказ от соблюдения мер по безопасности может послужить причиной недопуска на территорию Центра Алмазова. Просим с пониманием отнестись к введенным мерам по безопасности.

С уважением, Администрация Центра Алмазова