16-летний подросток из Ставропольского края перенес инфаркт миокарда, причиной которого и стал миокардиальный мостик коронарной артерии. В НМИЦ им. В. А. Алмазова ему была успешно выполнена супракоронарная миотомия через минидоступ.
Первые симптомы болезни появились в мае 2019 года, тогда подросток обратился к врачу по месту жительства с жалобами на боли в области сердца. На кардиограмме специалисты увидели очаговые изменения по типу инфаркта миокарда. В феврале 2020 года при проведении компьютерной томографии врачи заподозрили мышечные мостики, которые мешают нормальному кровоснабжению сердца.
![]() |
![]() |
|
На рисунке показаны серии компьютерной томографии сердца пациента с миокардиальным мостиком передней межжелудочковой артерией (до операции). Стрелками обозначен наиболее глубоко проходящий сегмент артерии. |
|
![]() |
![]() |
|
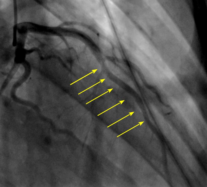
На рисунке приведена коронарография пациента до операции. |
|
«Коронарные сосуды в норме находятся на поверхности сердца — они окутывают его сеточкой, находясь на поверхности, не проходя глубоко в мышцы. А тут часть сеточки была под мышечным мостиком. Данная врожденная патология проявилась с ростом мальчика и увеличением мышечной массы сердца. Это очень редкое заболевание — за 31 год работы детским кардиологом я впервые столкнулась с таким диагнозом у ребенка. У взрослых пациентов он встречается, хотя тоже не часто. Хирурги Центра Алмазова удалили мостики, сжимавшие нормально сформированные коронарные сосуды. После операции, выполнив контрольную коронарографию, врачи увидели нормальное коронарное русло без сужения просвета во время сокращения сердца», — рассказывает лечащий врач Татьяна Николаевна Макушкина.
Миокардиальный мостик коронарной артерии является наиболее частым вариантом среди аномалий развития коронарных артерий. При этом одна или несколько артерий сердца проходят в толще сердечных мышц. Следствием этого является деформация и выраженное сдавливание артерии во время ее сокращения, что может приводить к ишемии миокарда, а нередко и вести к развитию инфаркта миокарда.
Наиболее радикальным вариантом лечения этой патологии является супракоронарная миотомия — операция, во время которой хирург рассекает волокна сердечной мышцы, сдавливающие артерию, таким образом освобождая последнюю из толщи миокарда. Описанный метод лечения осуществляется лишь в нескольких ведущих медицинских центрах России.
После обсуждения результатов обследований мальчика сотрудниками НМИЦ им. В. А. Алмазова (заведующим отделением сердечно-сосудистой хирургии № 3 Вадимом Константиновичем Гребенником, руководителем группы детской кардиохирургии Евгением Викторовичем Греховым, заведующим отделением сердечно-сосудистой хирургии для детей Александром Камильевичем Латыповым, детским кардиологом Татьяной Николаевной Макушкиной) было принято решение о необходимости оперативного лечения.
![]() |
![]() |
|
На рисунке приведена коронарография пациента после операции. |
|
«Обычным доступом при этой операции является срединная стернотомия (рассечение грудины). У данного пациента была выполнена супракоронарная миотомия через минидоступ (передняя левосторонняя миниторакотомия). По результатам контрольных послеоперационных исследований признаков компрессии артерий сердца не выявлено», — отмечает хирург, выполнивший операцию, заведующий отделением сердечно-сосудистой хирургии № 3 В. К. Гребенник.
![]() |
![]() |
На данный момент пациент продолжает лечение в условиях стационара, отмечается хорошая динамика в послеоперационном периоде. В ближайшее время планируется обсуждение вопроса о сроках его выписки.







