
В отделении нейрохирургии для детей № 7 врачи применяют новую нейронавигационную станцию для стереотаксической биопсии опухоли, расположенной в функциональной зоне головного мозга.
Опухоли головного мозга являются самыми распространенными онкологическими заболеваниями у детей. Они представляют собой наиболее сложные и опасные болезни, которые часто с трудом поддаются терапии. Залогом их успешного лечения является максимальное удаление опухолевой ткани, а также своевременно поставленный гистологический диагноз. Если новообразование распространяется в функционально важные области головного мозга, то хирургическое лечение становится весьма проблематичным, и, таким образом, верификация диагноза также оказывается невозможной. В связи с этим ребенок лишается возможности получить адекватное противоопухолевое лечение.
Разработка и широкое внедрение нейронавигационных методик позволили в большинстве случаев решить эти проблемы.
Современная нейронавигационная станция, которая широко используется в НМИЦ им. В. А. Алмазова, позволяет с максимальной точностью позиционировать анатомические структуры головного мозга и контролировать ход хирургических манипуляций по строго намеченной траектории в направлении заданной мишени (патологического участка) любого размера (с точность до 1–2 мм).
Нейронавигационная станция в НМИЦ им. В. А. Алмазова
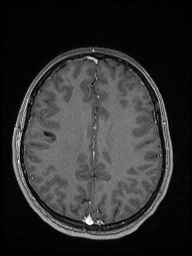
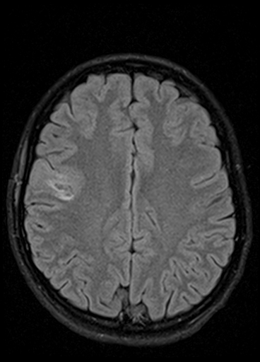
«Например, недавно в отделение поступил подросток с постепенно нарастающей очаговой неврологической симптоматикой. По результатам МРТ головного мозга была выявлена опухоль в функциональнозначимой зоне головного мозга (отвечающей за движение в конечностях) и без отчетливых границ с мозговой тканью. Открытое удаление новообразования могло привести к инвалидизации девочки, однако для определения дальнейшей тактики лечения требовался гистологический анализ патологической ткани с целью исключения злокачественного характера бластоматозного процесса. Было решено провести стереотаксическую биопсию с использованием нейронавигационной станции. Для проведения предварительных расчетов безопасной траектории прохождения биопсионной иглы до зоны-мишени (центральной части опухоли) в навигационную станцию были загружены данные МРТ обследования пациентки, затем в режиме реального времени были привязаны внешние анатомические ориентиры головы и лица. После компьютерной обработки полученных данных весь ход операции можно было контролировать на мониторе навигационной станции в трехмерном режиме. При помощи специальной биопсийной иглы были взяты образцы патологической ткани в намеченной зоне (что было подтверждено при контрольной МРТ)», — рассказывает заведующий отделением нейрохирургии для детей №7 к.м.н. Александр Вонгиевич Ким.
Визуализация введения иглы во время стереотаксической биопсии
Пациентка перенесла операцию удовлетворительно, осложнений в постоперационном периоде не было. Гистологический анализ подтвердил наличие опухоли, она оказалась доброкачественной, поэтому девочке не было показано онкостатическое лечение. Было лишь рекомендовано проходить регулярный МРТ контроль.
![]() |
![]() |
![]() |
| МРТ до операции | МРТ после операции (1-е сутки после операции) | |


