
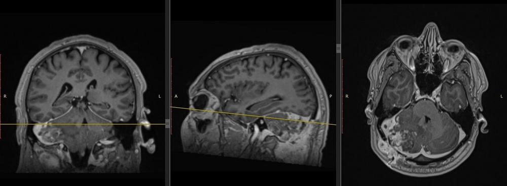
В нейрохирургическое отделение № 4 РНХИ им. проф. А. Л. Поленова (филиала Центра Алмазова) поступил пациент (34 года) с жалобами на головную боль, тошноту и ежедневную рвоту. При обследовании был выявлен рецидив метастаза рака пищевода в правое полушарие мозжечка. Было известно, что пациент уже прошел курс лучевой терапии и несколько курсов полихимиотерапии. На консилиуме врачей с участием профессорско-преподавательского состава кафедры нейрохирургии было решено дополнить микронейрохирургическое удаление опухоли современным методом — фотодинамической терапией для повышения радикальности операции.
До операции пациент получил лекарственный препарат — фотосенсибилизатор, а после хирургического удаления опухолевого узла, образовавшаяся операционная полость была облучена хирургическим лазером для уничтожения клеток, которые могли остаться в глубине здоровых тканей.
Фотодинамическая терапия — метод лечения предопухолевых заболеваний и злокачественных новообразований, основанный на использовании двух компонентов – специального лекарственного средства (фотосенсибилизатор) и лазеров, генерирующих излучение определенной длины волны. Принцип метода заключается в накоплении в ткани опухоли веществ, которые после облучения лазерной установкой запускают реакции и приводят к гибели патологических клеток. Это важно, когда клетки распространяются в веществе мозга вдали от опухолевого узла.
Во время операции использовался нейрохирургический микроскоп с флуоресцентным модулем — преобразователем свечения. Получаемое с микроскопа изображение позволяет отличать опухолевые клетки от обычных, оценивать радикальность удаления, а также эффективность проводимой фотодинамической терапии.
![]() |
![]() |
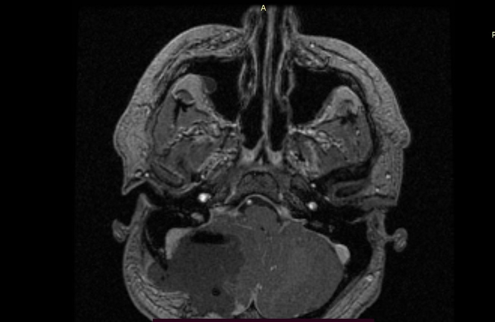
| Снимки до операции. Опухоль полушария мозжечка | Снимки МРТ послеоперационный контроль. Опухоль удалена полностью |
Благодаря применению этого подхода удалось полностью удалить опухолевые клетки не только в зоне операции, но и в прилежащих структурах головного мозга, что, в свою очередь, будет способствовать увеличению безрецедивного периода и улучшению качества жизни пациента. Послеоперационный период прошел без осложнений. На контрольных МРТ-исследованиях подтверждено тотальное удаление злокачественной опухоли головного мозга. Пациент выписан в удовлетворительном состоянии без неврологического дефицита.

