
В январе 2020 года молодой петербурженке сделали эхокардиографию сердца, поскольку самочувствие было плохое, ей становилось все труднее ходить, небольшие нагрузки вызывали одышку и слабость.
Эхокардиография показала большую опухоль в сердце, именно она и была причиной всех симптомов. В этом же месяце кардиохирурги опухоль удалили (новообразование оказалось незлокачественной миксофибромой). Но, к сожалению, состояние пациентки улучшилось ненадолго. Вскоре у женщины диагностировали рецидив опухоли. На этот раз вердикт врачей был более суровый – саркома левого предсердия была злокачественная и такой тип образования не подвержен лечению химио и лучевой терапией.

Летом 2022 года консилиум врачей НМИЦ им. В. А. Алмазова принял решение поставить пациентку в лист ожидания на трансплантацию сердца. Уже в октябре выполнили удаление тотально пораженного опухолью сердца и пересадку донорского органа. Операция значительно улучшила состояние, женщина снова ощутила прилив сил и энергии.
«Я работаю бухгалтером, и вообще очень активный человек. После пересадки сердца мне стало намного лучше, я снова могла двигаться и заниматься обычными делами», — вспоминает она.
После выписки из стационара пациентка регулярно наблюдалась в Центра Алмазова, была включена в группу диспансерного наблюдения реципиентов сердца. Однако, в октябре 2023 года у женщины резко заболела голова.
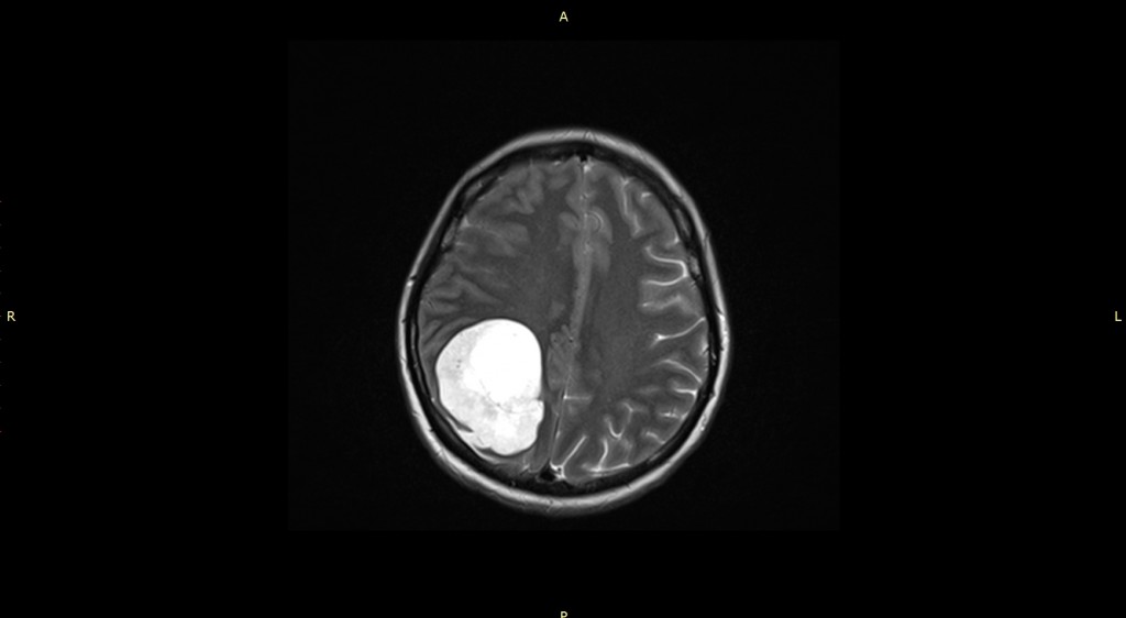
«В пятницу вечером она позвонила мне с жалобами. С учетом трансплантированного сердца и приема иммуносупрессивной терапии, а также онкологического анамнеза, характерна атипичная клиническая картина. Принято решение о ее немедленной госпитализации. В течение часа пациентка была доставлена в Центр Алмазова в сопровождении сестры. Здесь коллеги оперативно выполнили комплексное обследование и были поражены, обнаружив при МРТ головного мозга крупную (6 х 5 х 6 см) опухоль в правом полушарии», — рассказывает врач — кардиолог-трансплантолог клинико-диагностического центра НМИЦ им. В. А. Алмазова Мария Андреевна Симоненко.
На момент поступления у пациентки в неврологическом статусе были выявлены гипертензионный синдром, левосторонняя гемианопсия, легкая статическая атаксия. Консилиум совместно с заведующим отделением нейрохирургии № 5, к.м.н. П. В. Красношлыком и руководителем лаборатории интегративных нейрохирургических технологий, д.м.н. Д. А. Гуляевым, принял решение о проведении хирургического лечения новообразования головного мозга в ускоренные сроки.

8 ноября 2023 года пациентке было выполнено микрохирургическое удаление опухоли правой теменной доли с использованием нейрофизиологического мониторинга. Оперировал врач-нейрохирург профессор Дмитрий Александрович Гуляев.
На следующие сутки после операции больная была переведена из отделения реанимации в палату. Гистологическое исследование подтвердило предполагаемый диагноз: метастаз миксофибросаркомы сердца. Простыми словами, злокачественная опухоль, удаленная вместе с сердцем все-таки, дала метастаз в головной мозг. Стоит отметить, что первичные опухоли сердца встречаются очень редко. При этом миксофибросаркомы составляют менее 1 % от всех опухолей сердца. А вот чтобы рак еще и распространился в мозг – таких случаев в мире единицы.
«Это действительно редчайший случай. За мою 25-летнюю практику я не встречал распространения онкологического процесса из сердца в головной мозг. После операции в неврологическом статусе отмечается регресс гипертензионной симптоматики и неврологического дефицита с восстановлением функциональной активности», — рассказывает Павел Владимирович Красношлык.

С учетом наличия трансплантированного сердца подготовка и ведение пациентки в посттрансплантационном периоде, включающие коррекции иммуносупрессивной терапии, осуществлялось совместно врачами-нейрохирургами и врачом-кардиологом отделения кардиологии № 8 Юлией Вячеславовной Сазоновой.
Пациентка в настоящее время чувствует себя хорошо и готовится к переводу из отделения нейрохирургии в кардиологическое для коррекции дальнейшей терапии.
«Сейчас я постепенно возвращаюсь к жизни. Стараюсь наладить сон, отдыхаю и слушаю аудиокниги. Уже немного начинаю вникать в рабочие дела, разбираю почту. В ближайших планах — начать ходить в бассейн и научиться хорошо плавать», — делится женщина.